医院首页

【聚焦儿院特色技术】儿童首例!巨大肝脏肿瘤“入侵”心脏,介入灌注化疗技术成功“逼退”

来源: 时间:2025-07-15 浏览:

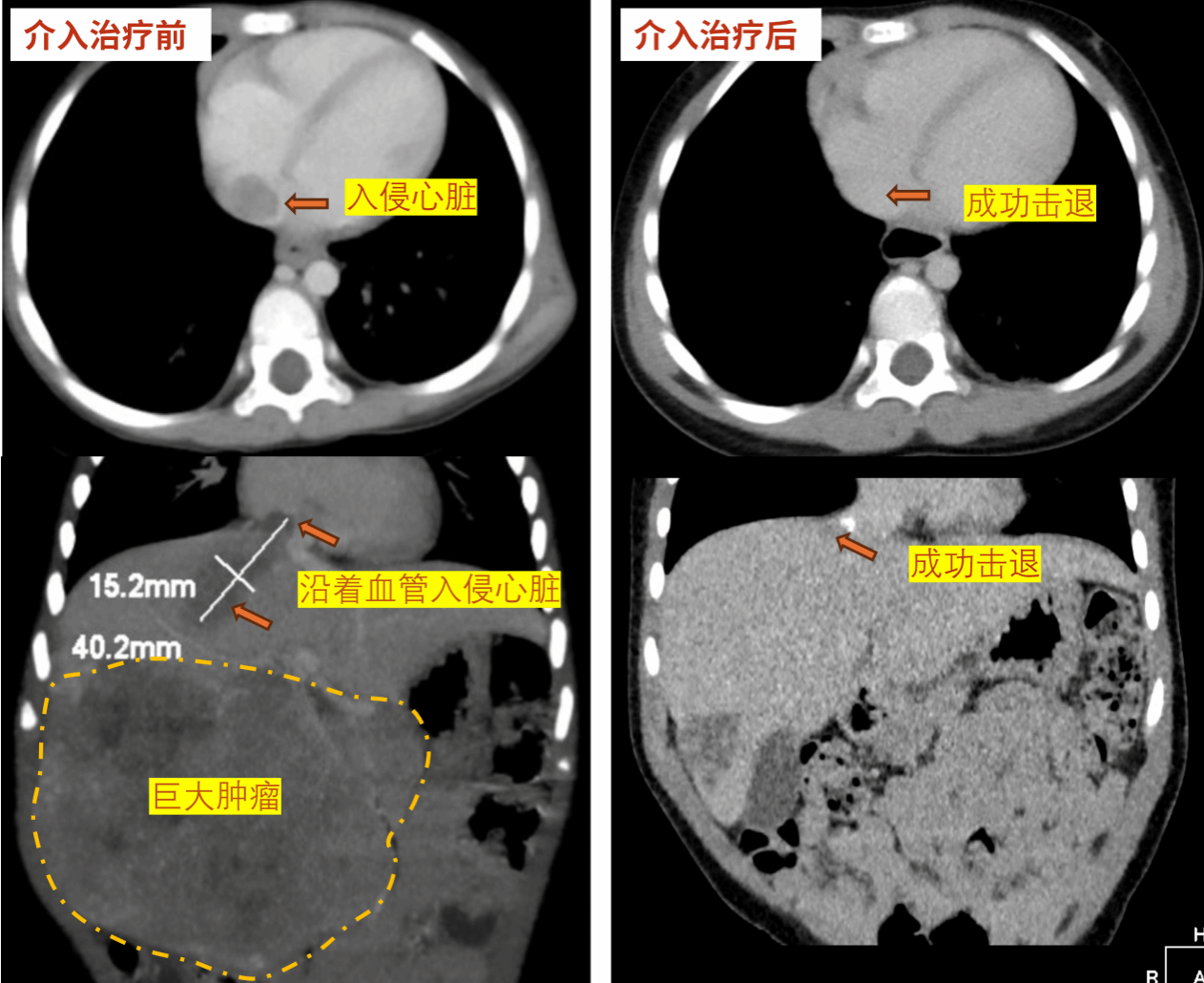
医生们的目光锁定在电脑屏幕上的影像图,图像中显示着一个巨大的阴影:直径约10cm的肝母细胞瘤,不仅盘踞在两岁患儿小宇(化名)脆弱的肝脏上,其“触角”已沿着血管悄然侵入生命的中枢——心脏。

来自贵州铜仁的小宇,命悬一线。

摆在重庆医科大学附属儿童医院肝胆外科团队面前的是一个两难抉择:按传统方案冒险进行开胸切心的联合大手术?风险很高,如同在稚嫩的心脏上“断电检修”。放手一搏?血管介入团队提出用介入治疗突击肿瘤,击退心脏病灶,博得肝脏肿瘤安全切除的手术机会,但这项技术还没有在儿童中应用的先例。

每一步治疗方案都重若千钧,团队必须为小小的生命找到最安全、最有效的路径。

罕见巨大肿瘤入侵心脏,传统疗法遇阻

“肝脏和心脏,一墙之隔,却像一栋大楼里最重要的两个核心机房。”肝胆外科熊强副主任医师解释说,“当肝脏肿瘤扩散到心脏,意味着两个核心区域同时告急。传统的手术方案需要‘联合检修’——开胸、心脏停跳、联合切除肝脏和心脏受累部分。这相当于让整栋生命大厦‘断电检修’,风险极高。”他坦言,这类手术虽在科内有过成功先例,但患儿要面临诸多致命风险。

“经过三个标准周期的化疗,虽然肝脏部分的肿瘤有所缩小,但盘踞在心脏血管内的瘤体却顽固不退,达不到理想的手术条件。”熊强副主任医师说,“直接开胸切心风险高、创伤大。”

患儿父母眼中深深的绝望和无助,沉甸甸地压在每一位医护人员心上。常规之路,似乎走到了尽头。

引入“精准奇兵”,介入灌注化疗技术的探索之路

如果能让“爬”入心脏区域的病灶退回去,小宇的治疗就有希望。熊强副主任医师及团队将目光投向一项在成人领域颇有成效的介入技术:肝动脉灌注化疗(HAIC)。然而,将其应用于如此低龄、且肿瘤已侵入心脏的复杂儿科病例,尚无先例。

“全身化疗,就像用中央空调给整栋楼统一制冷,能耗大(全身副作用大),还可能冻坏其他不需要降温的房间(损伤健康器官)。”熊强副主任医师形象地对比道,“而HAIC技术,则是给肝脏这个‘故障房间’单独安装一台‘精准空调’。”

其核心原理在于“精准投递”:医生通过介入技术将一根极其纤细的导管,巧妙地经血管送入肝脏肿瘤的供血动脉入口处。高浓度的化疗药物通过这根导管,被直接、持续地灌注到肿瘤内部,形成局部极高的药物浓度以精准治疗肿瘤。

“这就像一次精准的‘定向狙击’,药物火力高度集中在肝脏肿瘤这个‘靶心’,最大程度杀伤肿瘤细胞,迫使其从心脏区域‘撤退’。”熊强副主任医师描述说,“同时,进入全身循环的药量大大减少,从而显著降低全身化疗副作用。”

这种“精准打击、减少误伤”的特性,正是介入技术优势的核心体现。

从成人到儿童:首例介入灌注技术化疗的成功实施

将成人技术“移植”到儿童身上,绝非易事。“儿科介入,如同在米粒上刻字,精细度要求极高,也如在深山行路,需足够勇气和探索精神。但欣慰的是,只要有坚定的目标,就一定能取得成功。”熊强副主任医师强调。儿童血管更细、更脆弱,药物代谢速度、耐受剂量与成人截然不同,直接套用成人方案风险很高。

面对挑战,肝胆外科团队凭借丰富的介入治疗经验和扎实的技术功底,迎难而上,对HAIC技术进行关键的“本土化”改良。

肝胆外科团队经过多次讨论,将手术相关问题深入剖析,制定详细手术预案,实现婴儿经桡动脉入路的HAIC手术,成功解决儿童血管细小、配合度差等关键问题。

手术台上是一场技术与耐心的考验。

操作医生全神贯注,手法精湛而轻柔,如同穿针引线般将微导管送至肝脏肿瘤的靶血管;高浓度的化疗药如精准控制的涓涓细流,缓缓注入小宇肝脏的肿瘤核心区域;年仅2岁的患儿,也在懵懂之间配合整合团队完成两天多的治疗。医、护、患密切配合,共同完成儿童复杂肝母细胞瘤治疗领域的首次“精准奇袭”。

疗效令人振奋!仅经过一次HAIC治疗,复查影像清晰地显示:原本顽固盘踞在心脏血管内的肿瘤显著缩小,完全退回到肝脏内!

“肿瘤成功退回肝脏,这是一个巨大的转折点!”团队专家难掩激动,“这意味着我们可以避开心脏这个手术‘雷区’,只需针对肝脏实施手术,手术风险和复杂度直线下降,患儿的安全得到极大保障!”HAIC技术成功为根治性手术扫清最大障碍。

介入术后不久,肝胆外科团队抓住最佳时机,为小宇成功实施肝脏肿瘤根治性切除术。那颗曾威胁生命的巨大肝母细胞瘤被完整剥离、取出。

术后复查结果令人欣慰:无肿瘤残留,无复发迹象!结合标准的术后辅助化疗,历经约半年的规范治疗,这个曾经命悬一线的贵州小男孩,终于顺利康复。小宇父母脸上重现的笑容,是对医护团队仁心仁术和精湛技术最好的回报。

推开儿童复杂肿瘤精准治疗“新大门”

小宇的成功救治,其意义远不止于一个生命的重生。它标志着成功将HAIC技术应用于儿童复杂型肝母细胞瘤(肿瘤已侵犯心脏)的治疗,实现该技术在儿科高危、复杂肿瘤病例领域“零的突破”。

据熊强副主任医师介绍,HAIC技术的价值,不仅在于其精准与微创,同时代表了治疗策略和思维的革新。为肿瘤侵犯心脏、大血管等关键结构的复杂肝母细胞瘤患儿,找到了一条全新的、充满希望的路。同时也为其他儿童复杂型疾病提供了思路和方法,积累了宝贵的经验。

从医生在分岔路口的凝重抉择,到精密如艺术的技术改良操作,再到肿瘤神奇回退的生命转机,这场为两岁贵州男孩小宇定制的“精准奇袭”,不仅照亮小宇一家的未来,更在儿科肿瘤介入治疗史上,刻下具有里程碑意义的一笔。它推开了一扇新的大门,门后,是更多罹患复杂肿瘤儿童走向康复的希望之路。