特色医疗

特色医疗

【聚焦儿院特色技术】脑膜膨出堵塞鼻腔,2月婴儿呼吸告急!“毫米级”守护启动

来源: 时间:2026-02-02 浏览:

2个月大的女婴小西(化名)

出生后没多久就出现

双侧鼻子堵塞

只能张口呼吸

还伴随吃奶困难

哭闹的时候嘴唇还会发青

这些症状随着时间慢慢变得更严重

出现呼吸困难、呼吸衰竭的表现

辗转当地多家医院后

在重庆医科大学附属儿童医院

耳鼻咽喉头颈外科

检查揭开呼吸不畅的罪魁祸首

“鼻咽部病变——脑膜膨出”

患儿还合并房间隔缺损、肺炎

等多系统问题

面对幼小生命的“呼吸危机”,耳鼻咽喉头颈外科“护鼻通气”的精锐之师出手,以精准诊断为眼,以微创技术为刃,在方寸之间,移除阻碍呼吸的病灶,修复儿童鼻咽部与颅底间的“毫米级”缝隙,重启健康呼吸之路。

微创“拆弹”补“洞”:鼻内镜下的精准颅底修复

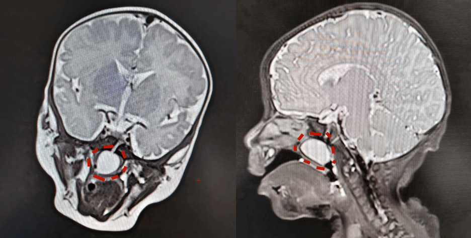
小西入院后,科室迅速启动多学科协作机制。电子鼻咽喉镜检查发现,鼻咽部新生物堵塞双侧后鼻孔;CT与MRI精准定位鼻咽部病灶(大小约13.3mm×21.1mm×20.7mm),明确其与蝶骨斜坡缝隙的关联,为手术方案制定提供关键依据。

“脑膜膨出本质是颅骨(如蝶骨斜坡)存在缺损,导致颅内的脑膜甚至脑脊液从缺损处向外膨出,从而形成鼻咽部的囊性病灶。”张峰副主任医师解释。

电子鼻咽喉镜显示膨出的脑膜

MRI图像:红圈位置为膨出的脑膜

手术面临多重挑战:

患儿年龄小,是目前医院开展鼻内镜下脑膜膨出切除术的最小年龄,手术区域骨骼、神经、血管组织脆弱,且空间狭窄。

病灶位置特殊,毗邻颅底蝶骨斜坡,该区域是颅骨底部的一个关键区域,相当于头部深层的 “交通枢纽”——上方是大脑组织,下方直接连接鼻咽部,两侧还邻近控制面部感觉、运动的神经,以及供应脑部的血管,手术操作容错率极低。

缺损修补难度高,常规的脑膜膨出位于鼻腔内,空间狭小,缺损修补后,纱条能轻易固定,等待修补组织生长;但此次患儿病灶处于鼻咽部,缺损修补后,周围空旷,缺少支撑纱条固定的地方。“可能一呼吸,填的东西就会掉出来,手术将前功尽弃。”

还合并脑脊液漏风险、颅内感染风险……

每一个难题都考验着手术团队的技术极限。

耳鼻咽喉头颈外科张峰副主任医师、杨大志副主任医师带领团队迎难而上,决定采用“鼻内镜下脑膜膨出修补术+颅窝底脑脊液漏修补术”——这一微创术式既能避免传统开颅的巨大创伤,又能精准处理颅底病变。

左图:在鼻咽部成行的部分膨出脑膜组织

右图:膨出组织切除后找到的鼻咽部和颅底的连接通道

术中,团队在鼻内镜高清视野下,小心翼翼剥离粘连囊壁后,暴露颅底2.5mm骨质缺损处,见清亮脑脊液渗出。

凭借精湛的解剖功底,医生切取带蒂鼻咽部粘膜瓣,联合可吸收明胶海绵填塞缺损,成功重建颅底屏障。

“此次手术,几乎微创到了极致,对周围组织没有损伤。”

全程守护:从手术到康复的多学科接力

术后,耳鼻咽喉头颈外科也不敢松懈半分。针对患儿合并的呼吸衰竭、肺炎等问题,联合重症医学科、呼吸科制定抗感染及呼吸支持方案,动态监测心功能,确保术后安全。

间隔2周,杨大志副主任医师再行“鼻内镜下鼻腔探查术”,顺利取出填塞碘仿纱条,确认带蒂粘膜瓣生长良好,无脑脊液漏复发。

如今,小西已告别鼻塞,已能自主呼吸,顺畅进食。

科室深耕儿童鼻科领域,擅长鼻内镜下微创手术,如鼻腔肿瘤切除、脑脊液鼻漏修补、脑膜膨出切除、鼻息肉切除及鼻中隔偏曲矫正等。近5年已行鼻内镜下脑膜膨出或脑膜脑膨出相关手术30余例。团队配备国际先进的高清鼻内镜、动力系统及导航设备,结合多学科会诊(MDT)模式,让复杂病例“一站式”解决。

“孩子的呼吸通道,容不得半点马虎。”张峰副主任医师表示,“我们不仅要有‘绣花针’般的精细操作,更要有‘父母心’的责任担当。”